치료전후사진

Total 81건 3 페이지
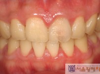
  • 61
    로그인 후 확인 가능합니다.
    치료전후이미지
    심미보철
    세렉을 이용한 심미보철
  • 60
    로그인 후 확인 가능합니다.
    치료전후이미지
    일반진료
    신경치료후 크라운보철치료
  • 59
    로그인 후 확인 가능합니다.
    치료전후이미지
    심미보철
    세렉을 이용한 전치부 심미보철
  • 58
    로그인 후 확인 가능합니다.
    치료전후이미지
    심미보철
    세렉을 이용한 전치부 심미보철
  • 57
    로그인 후 확인 가능합니다.
    치료전후이미지
    심미보철
    세렉을 이용한 지르코니아 심미보철
  • 56
    로그인 후 확인 가능합니다.
    치료전후이미지
    임플란트
    임플란트 full case
  • 55
    로그인 후 확인 가능합니다.
    치료전후이미지
    심미보철
    세렉을 이용한 전치부 심미보철
  • 54
    로그인 후 확인 가능합니다.
    치료전후이미지
    심미보철
    세렉을 이용한 전치부 심미보철
  • 53
    로그인 후 확인 가능합니다.
    치료전후이미지
    일반진료
    세렉을 이용한 보철치료
  • 52
    로그인 후 확인 가능합니다.
    치료전후이미지
    심미보철
    전치부 심미보철

검색

오시는길 의료진소개 황제갤러리
치료후기 전후사진 장비소개

간편 상담신청

치료과목
이름
전화번호
황제치과-찾아오시는-길-경기도-안양시-동안구-시민대로-214,305호 문의-및-상담-031-385-3372
서울황제치과

경기도 안양시 동안구 시민대로 214, 305호 | 전화번호 031-385-3372 | 사업자번호 392-01-01040 | 대표자 : 황재홍
2020 서울황제치과 All Right Reserved.

×
오시는길 온라인문의 의료진소개 진료안내 카카오톡챗봇상담 맨위로 이동